IGIMS पटना में कैंसर पीड़ित बच्चे की जान बचाकर अस्पताल के कैंसर विभाग ने एक बार फिर मिसाल कायम की है. मौत की दहलीज पर पहुंच चुके एक गरीब परिवार के बच्चे का ना सिर्फ इलाज किया बल्कि उसे नई जिंदगी दी है. IGIMS के कैंसर विभाग के हेड डॉ अविनाश पांडे ने बताया कि एक 5 साल के बच्चे को सांस लेने में तकलीफ और फीवर की शिकायत थी. एक्स रे के बाद गांव में उसका गलत इलाज किया गया और करीब 3 हफ्ते तक टीबी और टायफायड की दवा चलाई गई.

इससे उस बच्चे की हालत बिगड़ गई, जिसके बाद उसे IGIMS के चाइल्ड डिपार्टमेंट में एडमिट कराया गया. उसके गरीब पैरेंटे्स के पास इलाज के लिए भी पैसे नहीं थे. उसके बचने के चांसेज नहीं के बराबर थे. इसके बाद उसे कैंसर विभाग में शिफ्ट किया गया. डॉ अविनाश पांडे ने बताया कि साइटोलॉजी के बाद बिहार सरकार की अमृत योजना के तहत सस्ती दवाओं से उसका इलाज शुरू किया गया.

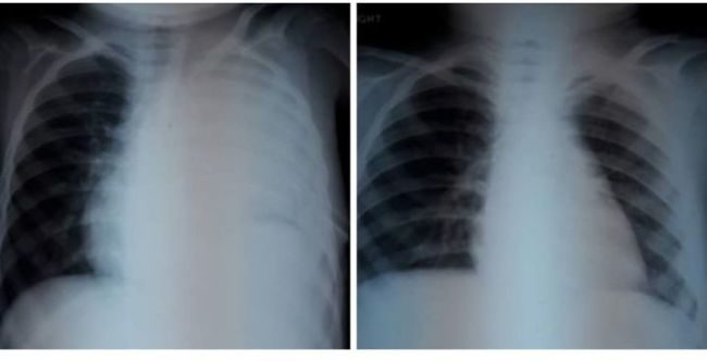
एक हफ्ते में ही बच्चे की हालत में तेजी से सुधार हुआ और करीब एक महीेने की इंटेसिव थेरेपी के बाद अब उसे नॉर्मल एक्स रे और स्वास्थ्य के साथ अस्पताल से छुट्टी मिल गई.
